定期検査とワクチン
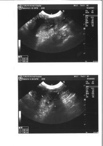
午前中に預けて血液検査、エコー、血圧の検査
体重200グラム減少
食欲はあるため、甲状腺機能亢進症が進んでいる可能性ありとのこと。T4検査。
エコー:左腎に委縮があるも問題なし。心筋に若干の肥大が認められた。
血圧:140程度(高い時は180) 血圧の薬が効いているとの判断。
血液検査:クレアチニンが若干上がっているが特に問題なし。
0830くらいを目処で検査結果を電話で通知
もし亢進症の投薬が必要であれば郵送で送ってくれるとのこと
0904 追記
0904 1000時点で連絡なし




